
Reabilitação de maxilas atróficas com implantes zigomáticos: relato de caso clínico 02
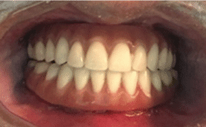
Paciente de 48 anos, do sexo feminino, apresentando boa saúde geral, procurou atendimento odontológico para reabilitação maxilar. A mesma relatou


Paciente de 48 anos, do sexo feminino, apresentando boa saúde geral, procurou atendimento odontológico para reabilitação maxilar. A mesma relatou

A reabilitação de maxilas atróficas, onde a quantidade óssea é insuficiente tanto em altura quanto em largura, pode inviabilizar a

A hipersensibilidade dentinária cervical (HDC) é uma condição, decorrente da exposição da dentina no meio bucal. A perda da camada

A importância do planejamento digital cirúrgico A importância do planejamento digital cirúrgico é visar previsibilidade do tratamento, evitando intercorrências e

Guia completo para instalação de implantes Neste guia, a DSP Biomedical vai te auxiliar a explorar como o Densificador Cônico

O objetivo principal do presente estudo é relatar um caso de colocação imediata de implante em região de incisivo central
